耳朵裏面經常癢,卻掏不出東西?或在暗示這 4 問題

耳朵裏面經常癢,卻掏不出東西?或在暗示這 4 問題

瀏覽:8751

耳朵裏面經常癢,卻掏不出東西?或在暗示這 4 問題

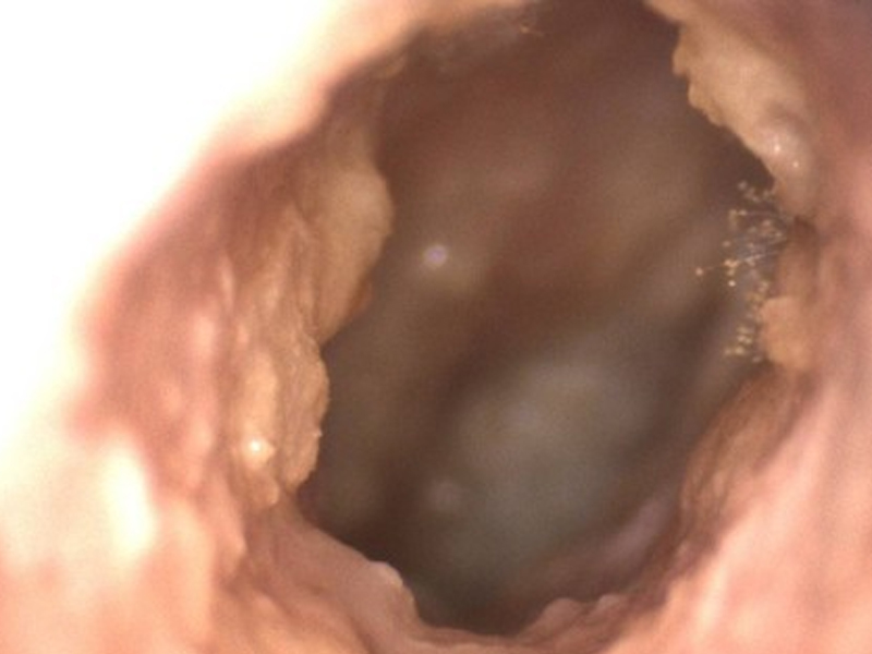
耳朵不掏就癢是怎麼回事?

耳道內的瘙癢問題可能與多種情況有關,其中一些情況可能需要特別警惕,特別是當瘙癢長時間存在、沒有明顯的耳屎排出、或者伴隨出血跡時。

1. 真菌性外耳道炎

這是一種外耳道皮膚的亞急性或慢性炎症,通常由真菌感染引起,有時也伴隨細菌感染。典型症狀包括耳朵內部的瘙癢,尤其在夜間加重。醫生通常會清除外耳道內的真菌痂皮和分泌物,然後使用局部抗真菌藥物進行治療。

2. 外耳道濕疹

這種情況的主要特徵是耳道內的瘙癢,伴隨黃色液體滲出和疼痛。外耳道濕疹容易復發,分為急性和慢性兩類,而急性濕疹可能更常見於嬰幼兒。要注意避免過度清潔和過度掏耳,以減輕症狀。

3. 蟎蟲爬入耳道

耳道內的蟎蟲感染通常與床單、被套、枕套等有關。除了耳道瘙癢,一些人可能還會注意到耳屎增多以及耳道中的酸臭異味。經常晾曬床單並定期為寵物做驅蟲可以減少蟎蟲滋生的可能性。

4. 過敏反應

食物過敏、花粉過敏或塵土過敏可能導致耳道出現碎屑、液體滲出和瘙癢等症狀。對特定過敏原過敏的人在接觸該過敏原時可能會出現耳朵瘙癢、腫脹、充血等症狀。建議在醫生的指導下使用抗過敏藥物來緩解症狀。

這 4 種耳朵需要定期掏

大多數人在進行咀嚼、張口和吞咽等面部肌肉運動時,耳屎會自行慢慢排出,因此通常不需要特意清理。不過,若存在以下 4 種特殊情況,建議定期清理耳屎:

1. 耳朵非常癢

如果感到耳朵非常癢,並且在耳道口看到大量耳屎碎屑,可以謹慎地使用圓潤的棉簽,由內向外輕輕掏出。但這時請務必確保清潔和消毒掏耳工具,以防止引入細菌到耳道內。

2. 油耳屎

黏稠油膩的耳屎通常不會自行排出,而會隨着時間逐漸凝聚成硬塊,堵塞外耳道,從而影響聽力。在這種情況下,需要定期清理,但最好不要自行處理,而是尋求醫院的專業幫助。

3. 耳道結構異常

如果您的外耳道天生狹窄、彎曲,或者曾接受過耳朵手術導致結構異常,那麼由於耳道皮膚的清潔能力下降,您可能無法自行排出耳屎,因此需要定期到醫院進行清理。

4. 炎症

細菌或真菌性外耳道炎、鼓膜穿孔中耳炎等情況可能導致長期炎症刺激,損害外耳道皮膚屏障,增加耳屎產生。在這種情況下,定期清理耳屎和耳道分泌物可以幫助保持通暢引流。

此外,一些特殊人群,如工作環境容易接觸灰塵、污染物的人群,也建議定期清理耳朵。



猜你可能會喜歡:

瀏覽:3371
女生聞到的男人味和男人聞到的女人味,有什麼不同?

瀏覽:1738
喉嚨痛而就醫,才發現是淋病

瀏覽:3677
壽命長還是短,看行路就知道


返回主頁

@ 2019-2025
最後更新:2025-10-26
文章數:8471 / 閱讀量:62932441